La perte des dents est un problème commun pour tous les adultes. Quand nous étions encore enfants, nos dents étaient tombées et ont été remplacées par celles qu’on utilise aujourd’hui encore à l’âge adulte et pour le reste de notre vie. Aujourd’hui, un chercheur américain découvre comment un adulte peut faire pousser une dent après l’avoir perdu…
L’état et la force des dents peuvent se détériorer jusqu’à s’abîmer complètement et finir par se perdre. Ce n’est pas forcément l’âge qui détermine cette déperdition dentaire, car une mauvaise hygiène ajoutée à une consommation régulière de sucrerie et de friandise peut vous faire perdre vos dents à jamais.
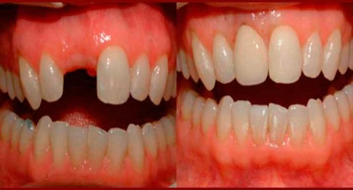
Les défauts et les inconvénients des implants dentaires :
Après avoir perdu nos dents permanentes, les nouvelles technologies dans ce domaine nous orientent vers l’utilisation des implants dentaires, une méthode très coûteuse et peu garantit, car le corps peut rejeter un implant à tout moment.
Un implant dentaire nous aide à combler le vide laissé par une ou plusieurs dents perdues, mais ce n’est pas sûr que notre bouche l’accepte et l’intègre totalement. Outre cela, les implants sont réalisés avec des soins peu recommandables et beaucoup d’inconvénients tels que le tarif décourageant , la capacité du corps à rejeter cet objet étranger ou l’apparition et le développement d’infections au niveau du site ou autour de l’implant.
Pour donner à l’Humanité un autre espoir pour de nouvelles dents originelles et authentiques, un chercheur, le Dr. JeremyMao du Medical Center Of Columbia University, est le génie derrière cette invention phénoménale qui consiste à mettre au point une méthode révolutionnaire pour combler un vide laissé par une dent perdue. L’idée est en réalité celle de faire croître à nouveau la dent perdue grâce à une nouvelle technologie sans être obligé de faire un implant.
Quelle est cette nouvelle méthode pour faire pousser les dents de nouveau à l’âge adulte ?
Le Dr. Mao a créé un «échafaudage» qui contient les cellules souches du corps qui permettrait, théoriquement, la croissance de nouvelles dents avec l’ADN de la personne concernée. C’est la première fois que quelque chose de semblable est utilisée et cette méthode est vraiment unique dans le monde. Le processus prend environ neuf semaines et il est entièrement naturel et ne nécessite l’utilisation d’aucun matériau étranger au corps humain.
Cet échafaudage de cellules souches issues de votre corps permet de développer et de faire repousser à nouveau la dent perdue. Il fusionne avec le tissu de vos gencives et pousse comme une plante dans un terreau. Vous n’aurez aucunement besoin de passer par le long et pénible processus de l’extraction et de pose d’implants ou de prothèses.
Cette méthode n’est pas encore testée, mais les recherches effectuées jusqu’à présent montrent qu’il y a un réel potentiel qu’un jour ce processus devienne le recours ultime de la renaissance des dents perdues chez tous les adultes sur cette planète.

