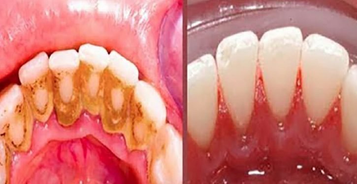
La plaque dentaire est une accumulation de débris et de bactéries sur les dents, venant pour la plupart de la nourriture et des boissons consommées, mais également de la salive. Elle se manifeste sous forme d’un dépôt régulier de couleur blanche à jaune foncée sur les dents et doit être enlevée de manière quotidienne. Lorsque la plaque s’accumule et qu’elle n’est pas retirée, elle peut se minéraliser sur les taches et se transformer en tartre.

Personne ou presque n’échappe à la formation de la plaque dentaire. Elle peut être à l’origine des caries, de la dégradation progressive de la dent ou de certaines infections. L’apparition de la plaque dentaire est favorisée par l’accumulation des débris alimentaires, des bactéries ainsi que par le tabagisme. Mais il existe des remèdes totalement naturels qui vous aideront à prévenir et à y remédier!
Faire disparaitre la plaque dentaire naturellement
Rapide à faire, ce remède naturel est facile à mettre en oeuvre et grâce aux aliments du quotidien. Basé sur l’association du bicarbonate de soude et du sel marin, il combat la plaque dentaire en douceur.
Ingréadients :
- 1 cuillère à café de sel marin
- Bicarbonate de soude
- 1 cuillère à café d’eau chaude
Disposez le sel marin dans une petite tasse et y ajouter le bicarbonate de soude et l’eau. Le mélange formera une pâte que vous pourrez utiliser en tant que dentifrice maison. Ainsi, vous favoriserez progressivement l’élimination de la plaque dentaire. A utiliser 2 fois par semaine pas plus pour ne pas endommager l’émail de vos dents.

